Ein Film von Barbara Burger
Das Kinderkriegen, die angeblich "natürlichste Sache der Welt" ist nicht immer die einfachste. Sei es aufgrund biologischer Defizite der Eltern oder einer aufwendigen Karriere- oder Lebensplanung. Der Wunsch nach Nachwuchs bewegt sich heutzutage zwischen legitimem Bedürfnis, individuellem Urinstinkt, gesellschaftlichem Druck und Lifestyle-Entscheidung. Der Film schaut mit viel Sachkenntnis sowie eindrücklichen Bildern der Reproduktionsmedizin und -Industrie über die Schulter und ins Reagenzglas. Dabei geht es weder darum, die Fortpflanzungsmedizin zu lobpreisen, noch sie zu stigmatisieren. Dennoch sind in jedem Moment die gesellschaftlichen, politischen und vor allem auch ethischen Implikationen spürbar. Ein Sciencefiction der Gegenwart.
|
Berner Filmpreis 2017 |
|
21st Ji.hlava International Documentary Film Festival |
| Solothurner Filmtage 2018 |
"Längst nicht alle Kinder werden im Elternschlafzimmer, unter der Dusche oder auf der Küchenablage gezeugt. Immer mehr Babys entstehen im Labor. Es ist wichtig, dass wir darüber sprechen. Der eindrückliche Dokumentar lm «Kinder machen» bietet eine tolle Grundlage für eine Diskussion mit dem Partner, mit Freundinnen und unseren Töchtern."
Tagesanzeiger
"Der Film «Kinder machen» trägt zur bioethischen Debatte bei, die in unserer Gesellschaft immer wichtiger wird und zwar sowohl am Anfang als auch am Ende des Lebens."
Soluthurner Filmfest
"Kinder machen» lässt uns in eine faszinierende Welt blicken. Und wirft ohne zu moralisieren elementare Fragen auf, die zu beantworten noch niemand im Stande ist."
Filmbulletin
"Dass die Filmemacherin eine bewusst neutrale Haltung einnimmt, macht «Kinder machen» so sehenswert. Der Effekt beim Zuschauer: produktive Verunsicherung. Und dazu Bilder von kühler Schönheit, die Kameramann Ulrich Grossenbacher dem Labor entlockt hat."
Der Bund
"Das Montagsinterview mit Barbara Burger." Mehr lesen
BZ
"Der Berner Film «Kinder machen» wirft einen einfühlsamen Blick auf die Arbeit der künstlichen Befruchterinnen und Befruchter. Nicht zufällig eignet er sich fürs Klassenzimmer."
Berner Kulturagenda
"Ein spannender und sehr sensibel gemachter Film, der zum Nachdenken und Diskutieren anregt."
Wir Eltern
«Das von Menschenhand erschaffene Leben ist eine Blackbox, die mal fasziniert, mal unheimlich anmutet.»
Züritipp
«Sehr gut gemachter Dokumentarfilm - Sehenswert!»
Schweizerische Ärztezeitung
"Kinder machen" - Mit Sensibilität, ethischem Gespür und der Fähigkeit auch komplexe wissenschaftliche und technische Probleme darzustellen, führt uns der Film «Kinder machen» in die Welt der Fortpflanzungsmedizin."
Fred Zaug, Der Bund
Produktion: FAIR & UGLY
Produktionsjahr: 2017
Dauer: 82 min
Deutschschweiz: 30. November 2017
Anmerkung der Autorin |
|
Und plötzlich hatte ich Kinder; gesunde und muntere. Einfach so. Mir nahestehenden Menschen ist es anders ergangen.
In einer Zeitschrift stolperte ich über das Inserat einer Fruchtbarkeitsklinik. Die Klinik warb für „Social Freezing“. Das Foto suggeriert: Die Frau ist unabhängig, gesund, die Frau geniesst Bildung und hat businessmässig noch viel vor. Das Motto: Ich kriege mein Kind wann ich will. Wann? Ich will?
Durch die Erfahrung mit meinen Freundinnen war mir bewusst, dass ungewollte Kinderlosigkeit eine tief einschneidende Tatsache ist, die viel Trauer und Wut mit sich bringt und Auseinandersetzung erfordert. Nach wie vor kann ich nur ahnen wie ohnmächtig einem ein unerfüllter Kinderwunsch macht. Was also wagte diese Werbung zu behaupten? Jede Frau kann ein Kind kriegen und auch noch den idealen Zeitpunkt bestimmen? Und darüber hinaus: Haben sie die Lösung, die wirkliche Selbstbestimmung der Frau entdeckt?
Die Werbung machte mich stutzig und so begann meine Reise in die Welt der Reproduktionsmedizin.
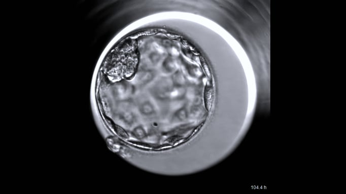
Ich machte mich auf zu Medizinerinnen um herauszufinden, was an „Social Freezing“, dem Einfrieren und Lagern von Eizellen dran ist. Schnell begriff ich, dass ein Kind nach einer „Social Freezing“ -Behandlung nur mittels künstlicher Befruchtung entstehen kann. Die Medizinerinnen führten mich in die Labors zu den Embryologinnen. Dort habe ich miterlebt wie Eizellen mit Spermien befruchtet werden. Ich fand extrem faszinierend, dass vor meinen Augen vielleicht gerade Menschen gezeugt wurden.
Im Labor war alles klinisch rein, voll mit Apparaturen, Hilfsmitteln. Ein ständiges Rauschen und Dröhnen der Lüftung im Raum. Nichts von Liebe, Körperlichkeit, keine Romantik. Und trotzdem waren da Menschen, die mit Hingabe und voller Konzentration menschliche Keimzellen zusammenbrachten, einen Kinderwunsch erfüllen wollten. Gleichzeitig stellten sich mir ethische Fragen. Wie viel Handanlegen an menschlichen Keimzellen, an Embryonen ist in Ordnung? Wo werden Grenzen – deine, meine, unsere – überschritten?
Aus diesen Erlebnissen konkretisierte sich die Idee für „Kinder machen“. Ich wollte einen Film machen aus der Perspektive derjenigen, die versuchen, den Kinderwunsch zu erfüllen. Was treibt sie um? Ich wollte die Labortüren für alle öffnen, die Arbeitsschritte einer künstlichen Befruchtung erlebbar machen. Ebenso wichtig wurde der Aspekt der Wissenschaft und Forschung. Der Drang von uns Menschen nach neuen Erkenntnissen lässt uns immer wieder Grenzen überschreiten. Wo werden sie im heiklen Bereich der Reproduktionsmedizin gezogen? Wer schützt sie?
Es ist meine Absicht, mit „Kinder machen“ die Komplexität der Reproduktionsmedizin erfahrbar zu machen. „Kinder machen“ soll eine Diskussion auslösen über unseren heutigen Umgang mit der Reproduktionsmedizin.
Barbara Burger |
